Affordable Dental Implants Serving Abbots Langley
- 100% Free Consultation. Includes X-Rays.
- £600 Free Treatment Contribution.
- Affordable Monthly Payment Plans Available.
Affordable Dental Implants Serving Abbots Langley
- 100% Free Consultation. Includes X-Rays.
- £600 Free Treatment Contribution.
- Affordable Monthly Payment Plans Available.
We ONLY Use High-Quality Dental Implants
No substandard brands. No cloned versions.
Save £600 With Our
FREE Treatment Contribution
Initial Consultation
(Value £150)
During a comprehensive, no-obligation consultation, we’ll go over all of your choices for replacing any lost teeth.
Review Appointment
(Value £55)
We don’t charge for the minor things. After placing your implants, we’ll see you through to the end with review appointments.
3D Scan
(Value £99)
If you decide to go ahead with your dental implant treatment, we will take off the cost of any 3D scan up to £99.
Night Guard
(Value £300)
Protect your dental implants and teeth with a free night guard and help them last longer. This is subject to clinical suitability.
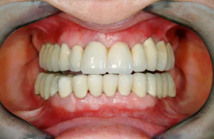
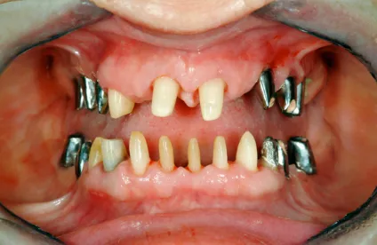
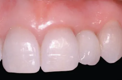
The Most Effective Solution for Replacing Lost Teeth
Concerned about losing your teeth? It’s a common worry.
Dental implants differ from conventional treatments like dentures or bridges as they are fixed in place and do not require modification of neighbouring teeth. They are seen as one of the most robust ways to restore your smile, offering a durable solution that gives you back your natural bite and confidence.
Rate
Why Should You Opt for Quality Dental Implants?
By selecting high-quality dental implant systems and superior bone grafting materials, you can prevent unwanted issues and treatment failures.
It is important to understand that the implant you receive, no matter the location, must be durable and capable of being maintained globally for life.
To ensure your safety, we strictly use recognised and reputable dental implant brands.
Same Day Dental Implants
Serving Abbots Langley
Typically, patients are required to wait a few months after implant surgery before receiving their new teeth, allowing time for the implants to integrate with the jaw. But thanks to our innovative approach, you can get stable, secure implants and walk out with your new teeth on the same day, giving you a complete smile instantly.
All-On-4 Dental Implants
Serving Abbots Langley
The All-on-4 implant procedure offers a fast, effective solution, giving you a full set of teeth in just one day. No need to wait months for results. With just 4 strategically placed implants per jaw, you’ll have a stable and natural-looking smile, permanently fixed over time.
Leave behind the frustration of denture slips and discomfort. Enjoy eating, talking, and smiling confidently, all from day one.
Short Dental Implants
Serving Abbots Langley
When traditional implants require extra bone due to limited jawbone height, bone grafting can increase both the time and cost of your treatment. Bicon SHORT Implants present an effective solution, often eliminating the need for these extra procedures. With Bicon, shorter implants can provide the support you need without the complexities of longer implants.
Choosing short implants can also make your recovery quicker and more comfortable. The procedure uses fewer and smaller incisions, and low-speed drilling techniques are employed, helping to ensure a smoother, faster healing process.
Affordable Dental Implant Finance Plans
Concerned about the cost of dental implants? Boxmoor House Dental Practice provides flexible payment plans, including interest-free options, to make treatment affordable. Spread the cost over manageable monthly instalments and enjoy the smile you deserve without financial stress. Our team is here to guide you through the options and help you start your journey toward restored confidence, comfort, and dental health. Take the first step and contact us today to learn more.
Principal Dentist
GDC No. 177899
- Graduated from Kings College London in 2009.
- Completed a year as a vocational trainee in Andover.
- Spent a year as an SHO in maxillofacial training at the Queen Alexandra Hospital Portsmouth.
- Since then, has worked in General Practice in London, providing a wide range of dental treatments.
- Became a member of the Royal College of Surgeons in 2011 after completing the MJDF RCS(Eng) examinations.
- Enjoys oral surgery and places Nobel Biocare implants.
- Provides adult cosmetic orthodontics, including Six Month Smiles, Invisalign aligners, and RX aligners.
- Outside of dentistry, is a sports fanatic, enjoying both playing and watching all sports.
Frequently Asked Questions (FAQs)
What is a dental implant?
A dental implant is a titanium screw placed into the jawbone to replace a missing tooth root. It provides a strong, stable foundation for a natural-looking crown, restoring both function and appearance. Unlike dentures or bridges, implants fuse with the bone, supporting chewing, speech, and facial structure while offering a long-lasting, reliable solution.
Who can get dental implants?
Most people with missing teeth may be suitable for dental implants. Age isn’t the main factor—overall health matters most. Adequate jawbone, healthy gums, and controlled medical conditions are essential for success. If you’re healthy enough for a tooth extraction, you’re likely a candidate. We assess each patient to create a tailored treatment plan.
Does getting dental implants hurt?
Most patients experience minimal discomfort during dental implant procedures. Local anaesthesia ensures the process is pain-free, and any post-operative soreness is easily managed with medication. Many patients report feeling better than expected afterward. We provide clear aftercare instructions to reduce discomfort and support a smooth, comfortable recovery, making the implant process manageable and stress-free.
Why choose dental implants?
Dental implants restore your smile while strengthening your bite for easier chewing. They preserve jawbone health, protect surrounding teeth, and eliminate the need for removable dentures. Enjoy eating freely, feel more confident, and simplify your oral routine. Speak to us to find out how implants can enhance your comfort, function, and overall smile.
How long does dental implant treatment take?
Treatment time depends on your individual situation. Some patients can receive temporary teeth on the same day, but the final, permanent restoration usually takes several months. In certain cases, extra healing time may be needed for the best results. A personalised consultation helps determine the exact timeline for your dental implant plan.
Will I be without teeth during treatment?
Most patients do not go without teeth. Temporary prostheses or same-day fixed teeth can often be placed during implant surgery, allowing immediate function and a natural appearance. This ensures you can eat, speak, and smile confidently while your implants integrate. A consultation helps us create a plan tailored to your individual needs.
How long can dental implants last?
Dental implants are highly durable, often lasting 15 years or more, with many patients enjoying even longer-lasting results. Their longevity depends on good oral hygiene and regular dental check-ups. Proper care ensures implants remain functional, strong, and natural-looking, providing a reliable long-term solution for replacing missing teeth and maintaining overall oral health.
Do I need to maintain my dental implants after treatment?
Yes! Like natural teeth, implants require careful care to remain healthy and long-lasting. Regular dental check-ups, professional cleanings every 3-6 months, and diligent oral hygiene help protect the implants and surrounding gums. Proper maintenance ensures your smile stays strong, functional, and aesthetically pleasing for many years.
Read what our patients are saying about us on Google Reviews.









